Tuesday, December 28, 2010
Bryon the Superstar
http://www.msnbc.msn.com/id/40785687
Bryon's a SUPERSTAR!! (anonymously of course)
Wednesday, December 15, 2010
The truth about us...
Tuesday, December 7, 2010
Quick Blurb
Just as an update; Anna is feeling much better after her adventures in the ER. Turns out her tummy is quite upset with her eating habits and it needs more variety than what she restricts herself to. I think the whole experience has taught her a lesson and she seems to be more inclined to eat her fruits and veggies. I even saw her eat half a can of green beans and she was happy about it. She has had a few moments of pain since the ordeal, but at least we know she isn't in any immediate danger. The appendix theory is still up in the air since it is a possibility that it is having some trouble, but until something serious arises there isn't much we can do. I am just glad Anna is more willing to try new foods now, and she seems to be making a game out it. Way to go Anna!
I am excited to say that I will officially be certified as a forklift driver this week. I have passed training even though I was extremely hard on myself through the whole thing. I was told during my review last week that I am doing average to above average for this phase in my employment and as long as I do what I am supposed to do, they anticipate I will be a pro in under 6 months. I already have 2 1/2 months down so I am anxious to see how the next few months go. This week I will be officially alone since my trainer has taken another shift, but I am getting along very well with the boys I work with on the night shift. I say boys, because that seems to be the general attitude of most them. The horse play that goes on when they all get together is incredible.
So, off I go to Pocatello now with Anna and Audrey. Anna gets her first oral appliance and Audrey gets to play video games while we wait...oh goody. We will let you know how Anna fares after the ordeal is over.
Wednesday, December 1, 2010
Sisters
It was simple subtraction problems 1-10's and Anna had several practice sheets. Anna had one and Audrey had one. Audrey instructed both of them to put their names at the top and begin working. Anna of course was much faster, but Audrey seemed to grasp the concept quite well. We counted on fingers and she was able to understand that if you have 8 apples and you eat 3 of them you come up with 5. She was also doing well writing her numbers legibly and I was proud of both of them for their efforts at working together. Even if it was just Anna's homework and not Audrey's.
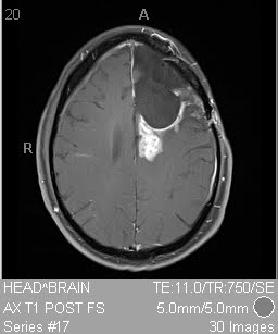
Prelimanary Results of MRI
Immediately after we arrived home, we gathered all the expert knowledge we have acquired over the past 2 1/2 years to read the results of the MRI. The actual report has not been written yet, but we were able to score a CD so gives us a visual. According to our not so expert opinions, the growth has remained stable and looks to be the size of a pencil eraser. That's good news if in fact that is what the doctor see's. We were a little surprised to see so much fluid in his head though. It has always been there since they removed the tumor during the last surgery in January of 2009. Maybe it is just that we are not used to seeing such large voids since they are generally full of cancer cells growing rapidly out of control.
At any rate, we feel a slight sense of relief that Bryon most likely will not have to endure another surgery in the immediate future. As for the written report, we will have it summarized by the doctor and be able to visit with him about it next week.
Monday, November 29, 2010
New Doctor's for New Problems
We now add a new doctor to the pile. Anna has been complaining of stomach pain a lot for the last two weeks. It really got obvious on Thanksgiving that she was not comfortable at all. She would eat fine and play until her stomach decided it had had enough. She went for a sleepover at Grandma and Grandpa Westerberg's house and was even able to play at Granny's for a day. Saturday night she attended an Aggie basketball game(she was thrilled that they won) with her dad, sister and grandparents. By the end of her evening she was wiped out and in pretty constant pain. As a mother your heart bleeds for your child when they hurt the way Anna was, but you also have to keep a cool head for your kids sake. I tried to decide how much was drama and how much was real suffering. When the pain got bad enough she was doubled over, I asked her many times if she felt that a visit to the hospital was necessary(I was told that if there was no fever or risk of dehydration and all that stuff, then it wasn't an emergency. Hence y hesitation in this case). She said she would like to see a doctor and we packed up and headed to Logan.
That poor little girl was put through so much crap while she was trying to endure the pain and difficulty of not being able to rest. There were IV's and needles, poking and prodding,urine and blood samples, X-rays and even an ultrasound. By the time we got there and had been put through the ringer, Anna had a fever of 103. Some Tylenol and a Maalox cocktail took care of the fever and dulled the pain for a few hours so she could sleep. She was kept till 7:00am for observation and the doctor admitted she had no clue what was happening, but that there was definitely something wrong. Appendix comes to mind, but there was nothing conclusive that said for sure she was in need of surgery.
So, today we have made some arrangements to go back to the hospital and discuss the weekends events with a pediatrician and decide if the next step is to be the CAT Scan and possible surgery, or if she has some fancy disorder that I can't spell. The radiologist who did her ultrasound noted that her lymph nodes in her abdomen were very inflamed which coincided with her blood work. Apparently there is a word for it, but heck if I can recall it , let alone spell it.
In total, we have 5 doctor visits to complete in the next 9 days. Audrey seems to be the only one without an ailment and is loving the idea of taking care of her family. She has helped out enough that I agreed to pay her for every chore she completed while we were dealing with all this junk. She took to that like a fish to water. She has already earned a dollar for cleaning her room and plans to help with laundry to earn a few more. All in all I think we are busy but doing well. Results of our adventures will be eagerly anticipated, but at least we have the snow to distract us till they come in.
Monday, November 22, 2010
The final count down...
Bryon's next MRI will be done in Logan instead of SLC. HURRAY!! He is feeling well and making progress in his speech and cognitive functions. He is having troubles with a few things that make it difficult for me since I am not at home, but I would rather be working and having him learn by himself than having to constantly hold his hand. I think he kind of enjoys the independence as well. After watching a Warren Miller Ski Documentary he decided it was time to pick up a hobby...rather, continue an already existing hobby...snow skiing. I am anxious to see the snow fly since it has been years since we let Bryon loose on the slopes, but I am sure it is a lot like riding a bike. We'll send out a warning when he heads to Beaver Mountain, just to give you all the heads up to get out of the way.
Recently, Bryon started making appointments at Logan Regional to have his vascular port flushed once a month. Seeing how this has been done for well over a year, I joked and said I should do it. Bryon agreed! In about 30 days I will be heading into the hospital with him and I will get a crash course in how to administer Heparin (anti-coagulant) and properly flush a port with saline solution...needles and all! I am so excited that there are not words to describe it...seriously!!
So, the next time we post it should be after the last MRI of 2010 that is scheduled for December 6th. After that we will probably have lots to report about the home nursing try outs, any bets on how much blood will be wasted during my training at Bryon's expense? That should be a long enough break to get you through the holidays and on to the new year. As a side note, for anyone who reads the families private blog, it will be discontinued by the end of the year. This will be easier and more efficient to update only one blog.
Saturday, October 23, 2010
Honorable Mention
Bryon and I have been asked to participate in an interview with Myrexis; the drug company formally known as Myriad and the creators of Azixa.(The wonder drug that Bryon's trial was based on.)Typically when a company has success in a clinical trial they tend to publish the results and make it public what happened during the trial. The purpose of the interview would be to get a patients perspective regarding how the drug (azixa) changed their life. Myrexis would like to get a quote or two from us which they would include in the articles made in a formal report of the drug trial.
I received this request in my email today and didn't know what to think of it, but it sure makes me proud of Bryon and how strong his faith must have been in order to keep going when the cancer got tough. He really is a trooper and I hope he is proud of himself for all that he has done for himself, his family, and other patients needing to be treated. Even if he decides not to participate in the interview it is a huge deal to be considered for something like this and it proves he really is a super hero. My hero!
Thursday, October 7, 2010
A New Adventure Begins
Sunday, October 3, 2010
City Kids
Monday, September 20, 2010
What a big boy!!
It happened on Wednesday morning before school when I was telling Anna to ride the right bus home after school. If she rode the normal bus, she would be home later and not be able to make it to gymnastics. Bryon was in the kitchen making breakfast and he made a quick addition to my speech at his mother's expense. Without waiting for the ball to drop he simply said "If you ride Granny's bus you'll never make it home."
My jaw dropped and must have had a grin from ear to ear because my face still hurts. It is offical, Bryon made a joke and followed through to the punch line without forgetting, pausing, or stuttering!
Of course he was way too groggy to care for this news, but I have publicly announced this news with him in front of friends and co-workers several times and he smiles and holds his head high. Congratulations on getting your wit back, babe!! We love you so very much!
Tuesday, September 14, 2010
Quiet Blog
I know there are other people out there who are not so lucky in their fight with cancer and that they have made their own choices for treatment. I just want you to think about it if it were you, for a moment. So what if there is no cure for what you have, that does not make you a goner. Every bit of treatment can extend your life a little more so you can build a bridge over the gap from dying, to dealing, to cured. That's all Bryon did was try to make it to the cure and he may have done it, but in doing so he may have cured others with his endeavors. Clinical trials are so important to our medical knowledge base in treating disease of all kinds. I am thankful for all the prayers and well wishes from everyone, but I would also like to thank Bryon for doing the trial that may have saved his life as well as many many others.
Sorry, I got all gushy there for a moment. It won't happen again...till the next post probably.
Thursday, August 12, 2010
Results for August 10th, 2010
Wednesday, July 21, 2010
MRI Scheduled
No symptoms or indications that there is tumor growth has presented itself in the past 2 months. With this in mind we anticipate another clean scan, but nothing is certain. I have had several nightmares about it's return and it comes back with a vengeance. I tend to over react, over think, and over compensate just about everything so I will assume my brain is just protecting me in case the scans come back with tumor spots.
Anyway, that's the latest and greatest. Thanks for watching.
Tuesday, July 13, 2010
Thank You!
So, if you didn't make it for a legitamate reason I am sorry you missed the show. If you just didn't feel like showing up, or thought it wouldn't be any fun, well it was a blast and you missed out!
Thanks again to everyone in Cache Valley who helped make this the best party I have ever planned.
Thank you: Walt & Rosanne Povey & Family
Schreiber Foods
Cache Valley Radio
Stokes Grocery
Thuerer's Meats (sp?)
Mad Max's BBQ
Hansen Glass & Paint
Anyone who brought food...it was delicious.
My memory is awful, if I missed anyone please know I am very grateful to you even though I didn't type it.
Monday, June 21, 2010
Summer Concert Event
What: Benefit party and social for Kris Cole
Where: 293 S. 2nd E. Weston, ID
When: July 10, 2010
6:00pm for food
7:30pm for the concert
All this can be yours with a donation to the Kris Cole 'Fight the Fight' Fund.
Bring yourself a drink, a blanket, and your wallet. This is going to be a hell of a good time while raising money for Kris. Look forward to dutch oven potatoes and ribs and brisket while they last. You may bring your own meat since there will be a grill available. If you can't make it to the shin dig but would like to donate, please email Sara at sarakay@plmw.com or call 208-747-3907. We still need side dishes(green salad would be fine), plates, utensils, cups, beverage dispensers, and more meat for cooking.
Younger (teenage) participants are invited since the music being performed serves more to their tastes. I describe it as punk rock, but the drummer said it is more "edgy" than that. Whatever that means. There may be an acoustic session provided by members of Stay For the Summer if I can talk them into it. Please invite anyone and everyone so this can be a success.
Thursday, June 17, 2010
End of an Era
On a side note: Now that Bryon is able to concentrate better on other things we would like to once again extend an invitation to EVERYONE (and their unruly friends) to the benefit concert happening on July 10th in Weston, ID. It will benefit Kris Cole fight his own personal battle with his tumor. Food will be provided as well as entertainment by Stay For The Summer for those who come to donate, if you just come to rock out that's OK too...I guess.
A mass invite will go out when the event is closer, but in the mean time if you would like to donate a dutch oven full of potatoes, green salad, meat for smoking or grilling, or money for food that would be greatly appreciated. Please email Sara at sarakay@plmw.com.
Wednesday, June 9, 2010
Benefit Concert & Social
Sunday, April 25, 2010
MRI Series
I will do my best to explain each photo, but no guarantees you will all be able to see what we see.
These first two pictures are from January 16, 2009 or the day of the second surgery. These are post operation pictures so all you can really see is the hole where the tumor was and the chemo wafers that were placed directly on remaining tumor tissue.(those are the little black lines you can see.)


In March, we had an MRI to start the drug trial. The chemo wafers have dissolved and done a nice job at keeping the tumor nice and small. All you can see now is the hole where the tumor once was and an area of fluid that fills the void.(that would be the big black spot on the thing that looks like a brain.) All the scans from here down are viewing from the top of Bryon's head.

In May, the MRI showed some growth around the void left from surgery. Tumor cells light up with the contrast material they gave Bryon before the MRI. Any tumor growth you see will be the lighter ring around what used to be just a black space. You can see it is growing almost all the way around the area.


OK, so I messed up on September's MRI also, but again you can see what they were looking at. This was the largest the tumor got after surgery in 2009, at 23.4 mm the doctor was beginning to get a little nervous.

November, we held our breath. Not much change in size this time, but it was still borderline. If the tumor had grown much more than this Bryon would have been kicked out of the trial and forced to try other avenues of treatment.

December rolled around and we were preparing for some bad news. To our surprise and relief the tumor had actually shown some reduction. Exact measurements are not available, but what a relief to know we weren't headed for surgery again for the New Year.

So, from this point on I have no more pictures, but there is nothing to see in them anyway. Bryon's MRI's have shown no growth and the doctor feels there is absolutely no mass anymore. It wouldn't be much fun to look at a black hole in someone's brain now would it? Of course the doctor's official opinion is that there is some tumor still there, but he is definitely blown away by the progress made by Bryon and this drug trial. As for the drug company, they have no idea what to do at this point. They have not had anyone with this type of success, therefore they never considered what to do when there was no longer any tumor to treat. A conference is being held to discuss what to do with Bryon, but treatment continues till the experts can figure out what is best.
Wednesday, April 21, 2010
What do we do now?
After viewing the slides Dr. Jensen just chuckled and said "Exactly what am I supposed to measure? There is nothing there! I have never seen anything like this before."
We asked a few questions about Bryon's current medications and he has been instructed to stop taking his seizure medication, as a seizure is most unlikely in his current condition. That type of medication makes a person feel very "weird" as Bryon puts it, but really any drug could do that. He is very excited that he has one less drug on the menu.
I dared to ask the question about when will we take Bryon off the medication to see if the tumor is truly gone? Dr. Jensen admitted that no matter how awesome the results are, a person cannot be on chemo forever. He is going to discuss it with the drug company and see what they want to do. He is also going to press that if the tumor comes back, Bryon must be able to restart the treatments. We felt it was a reasonable proposal since it would really test the drugs capabilities. Regular chemo treatments are generally done for one year and Bryon is now a good month into the second year of the same treatment. Keep in mind, also, that remission is not possible without going ten years without re-occurrence after treatment. That's a long time for such an aggressive cancer.
In the previous post I mentioned that we would like all readers to list names of cancer victims. Unfortunately, we have another one to add to the pile. Bryon's 1st cousin and good friend was recently diagnosed with melanoma. It was one of those bad moles that we all ignore, and he was sent to the Huntsman Center on Monday and Tuesday for tests. Even though he may be out of the woods, the doctor he visited suggested that the entire Jacobson family (Bryon's mother's side) get a check up. Bryon has had two uncles, his mother, grandmother, and now his cousin with some type of cancer. Let this be a friendly reminder that even though some cancers are not genetic, you may be in a family that is prone to cancer in general.
Tuesday, April 13, 2010
What a remarkable brain you have!
On the way home yesterday, Bryon mentioned he had just drank the worst Coke he had ever had. The chemo is apparently getting to him a bit, and it isn't that surprising after being on it for the past year. His body is adjusting to it well now so his weight loss is not as dramatic as it used to be, and he can bounce back quite quickly when his white cell counts are not too low. His counts are lower this week, but not terrible, so he is up and moving while fighting the fatigue.
In my next post I hope to start up the online auction as mentioned in previous posts. Please tell as many people as you can about this blog so we can get some major support for our friends.
Do unto others as you would have done to you. Cancer is a continuous battle and no one should have to suffer from it's terrible tolls on income and mental and physical strain. Prayers are always welcome. If you know anyone who is fighting cancer, has passed away from cancer, or has managed to beat their cancer please leave their name in the comments for us so that we may forward prayers to them as well.
Wednesday, April 7, 2010
NEW TOPICS!
Our predicament now is that Bryon still has to go to SLC on Mondays for treatment. If I get the graveyard shift I will be able to take him, but was wondering if we could get any volunteers to to help out if needed? We have wonderful family members who said I should go ahead and get the job and we'll work the rest out later. It is now officially later, for me anyway, so if you feel you need to get out of town on someone else's dime and car let me know.
AUCTION NOTICE!!
There will be no more auction items put out for Bryon's cause. We feel that we are no longer the ones in most need of help and would like to use the online auction and remaining items to better serve a friend who is just starting the same journey as Bryon. Kris Cole is 19 years old and has recently been diagnosed with a stage 4 glioblastoma tumor. He has had one surgery and is currently undergoing radiation therapy. When the radiation is complete, he will have a month off and then start a clinical drug trial at McKay Dee Hospital in Ogden, UT. Anything auctioned on this blog will go directly to his travel expenses and needs during this difficult time. I also want everyone to know you can donate $5.00 at Hansen's Glass & Paint store in Preston, ID and receive a black bracelet that says'Fight The Fight KC #24' on it. It is an awesome way to show your support for all cancer patients who are fighting for their lives. If you have any items you would like to donate please email me or leave a comment on this post. Thanks for everything, and stay tuned for further updates on Bryon and Kris.
sarakay@plmw.com
Friday, March 5, 2010
Are you serious?
Saturday, February 27, 2010
F.Y.I.
The above MRI shows Bryon's head in August 2008 while under growing radiation therapy in preparation to take the oral chemotherapy drug called Temodar. It was the easiest form of chemo and the one with the least amount of side effects, but also showed very ineffective on treating the tumor. Bryon would have surgery to remove the tumor in January 2009 after it re-grew to a size just larger than a quarter. The tumor has been outlined in black. You are viewing his head from the back, and you can see how far up the tumor had to grow to reach his skull.
Glioblastoma multiforme (GBM) is the most common and most aggressive type of primary brain tumor in humans, involving glial cells and accounting for 52% of all parenchymal brain tumor cases and 20% of all intracranial tumors. Despite being the most prevalent form of primary brain tumor, GBMs occur in only 2–3 cases per 100,000 people in Europe and North America. According to the WHO classification of the tumors of the central nervous system, the standard name for this brain tumor is "glioblastoma"; it presents two variants: giant cell glioblastoma and gliosarcoma. Glioblastomas are also an important brain tumor of the canine, and research is ongoing to use this as a model for developing treatments in humans.[1] Treatment can involve chemotherapy, radiation radiosurgery, corticosteroids, antiangiogenic therapy, and surgery. [2]
Glioblastoma has a very poor prognosis, despite multimodality treatment consisting of open craniotomy with surgical resection of as much of the tumor as possible, followed by concurrent or sequential chemoradiotherapy, antiangiogenic therapy with bevacizumab, gamma knife radiosurgery, and symptomatic care with corticosteroids. Other than the brainstem gliomas, it has the worst prognosis of any CNS malignancyWednesday, February 24, 2010
Oh, by the way...
CONGRATS BRYON!! WE LOVE YOU SO MUCH!!
MRI series and info coming soon (we hope) so stayed tuned.
Thursday, February 18, 2010
Computer Genius Wanted
Wednesday, February 3, 2010
February 3, 2010
Bryon's chemo cycle started over again this past Monday, and we happen to find out some interesting news by trial and error. Bryon has been complaining that he feels more yucky than usual on his double chemo week. It is to be expected, but not when you have the best anti nausea medicine available. Turns out, it is in fact the anti nausea pills that are causing him to feel crappy. Not that he would like to try the alternative of going without them, but it is nice to know cause and effect. We have also learned Bryon is now becoming allergic to the MRI contrast. When conducting the last MRI, the process was interrupted when Bryon evacuated the contents of his stomach on to the floor (up chucked). No big deal, there are other contrasts to try, put one done for now.
As Spring is not quickly approaching, we find ourselves swimming in a pool of redundancy. Cabin fever has swept over us like a plague. Any kind of sunshine we can soak up gives minor relief. It is not that we don't have things to do, but rather we just don't want to do them. Several friends and family members have express their own concerns about their fever issues. It is nice to know that no one is suffering alone. Plenty of house work and unfinished projects are all around us. We may just have to buckle down and get it done. Then everything would be completed and we really would have reason to complain.
The next post is pending on my ability to run a scanner. I have a few MRI's to show off and even the actual measurements of the tumors growth pattern. Cross your fingers that I am able to work out this technical conundrum.
Tuesday, January 5, 2010
JANUARY 2010!!
We have decided we will need something to do this year instead of sitting around waiting for things to happen. I have arranged for Bryon and I to do some work at the Westside Nursery across the street from our house. There is no commute and it is sit down easy work so Bryon won't have to worry about working himself to death. There isn't any money in it, but I agreed to be paid in flowers and knowledge. Clint and Cheryl Buttars are happy to receive the help and are some of the nicest neighbors anyone could have.
So, now that the holidays are over we are trying to delay the bite of the gardening bug. I am more worried about it's affects on me, but I can tell Bryon wants to get out and feel useful again. Exercise doesn't hurt anyone, but the lack of it will kill you.
